MyKidsVision

Optical coherence tomography (OCT): what to expect

Key points

  • OCT is an imaging method that is used to create detailed cross-sectional pictures of important structures at the back of the eye (e.g. the retina) and occasionally the front of the eye (e.g. the cornea).
  • Optometrists and eye doctors use OCT images to thoroughly examine the back of the eye in different layers, in order to detect deeper abnormalities, measure the thickness of tissues, and monitor changes over time.
  • Since OCT is completely non-invasive, it is a quick, painless, and safe test to perform during routine eye examinations.

In this article:

Optical Coherence Tomography (OCT) is a safe, quick, and painless eye scan that helps optometrists and eye doctors to see detailed images the eyes. This article explains how OCT works, what it can reveal, and what to expect during the test.

What is OCT?

Optical Coherence Tomography (OCT) is an advanced type of imaging that helps eye care providers assess the health of the eye, by visualizing the eye’s internal structures. It provides eye care professionals with high-definition, cross-sectional images of the eye, allowing the different layers to be seen, measured, and understood in 3D.

It works similarly to ultrasound – another common non-invasive imaging method. A specialized camera uses near infrared light and scans across a region of the eye (for example, the retina), measuring the light waves that bounce back from the tissues. The camera collects this information to produce three-dimensional, cross-section images. Imagine slicing through a cake and viewing it from the side – OCT images provide a ‘slice’ that shows the distinctive layers of the eye.

OCT imaging is a valuable tool to help examine the eye’s structures, and detect abnormalities that may not be visible during a standard eye examination. OCT technology can detect the earliest signs of eye disease and plays a key role in treatment decisions.

What is the purpose of OCT and what does it reveal?

OCT plays an important role in comprehensive eye examinations and the diagnosis of a wide range of eye conditions. Because it allows precise assessment of eye structures, it is sensitive at detecting small, subtle changes in eye anatomy that may normally go unnoticed with other forms of testing. In addition, OCT scans can be repeated over time to monitor the progress of eye conditions and guide treatment decisions.

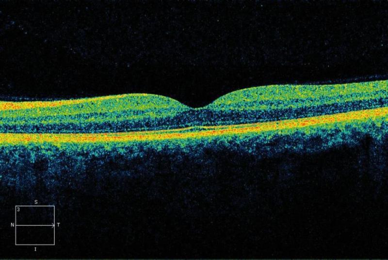
Eye care professionals often use OCT to examine the back of the eye, to check specific areas such as the retina and macula. This helps them diagnose and monitor retinal and macular eye conditions, such as diabetic retinopathy and macular degeneration. As the macula is responsible for central vision, seeing fine details, and colour vision, OCT images can pick up changes that directly affect a person’s vision. For example, OCT technology can detect if there is any swelling in the macula that may lead to blurred or distorted vision.

An OCT scan showing a healthy macula and its various layers.

An OCT scan can also provide detailed information about the optic nerve – the connection between the back of the eye and the brain, responsible for communicating vision signals. Modern OCT cameras are equipped to analyze optic nerve scans and compare it to other eyes of the same age, to determine if it appears normal and healthy. This is often used to help diagnose optic nerve conditions such as glaucoma, and evaluate progress over time.

An optic nerve analysis showing results within the normal range.

In some cases, OCT is used to gather information about the front of the eye (anterior segment), which includes structures such as the cornea, iris, and the anterior chamber angle. This type of OCT can be helpful for diagnosing and monitoring diseases of the cornea, as well as planning and performing surgery.

An OCT scan of the front of the eye showing the cornea, iris, and anterior chamber.

What happens during the test?

An OCT scan is completely non-invasive, painless, and reasonably quick, with test usually taking only a few minutes (approximately 5 minutes).

When OCT is performed, a special camera is used to photograph the retina. Some concentration is required during the scanning process, as the patient will be asked to focus on a target inside the machine while remaining as still as possible.

Your eye care provider may want to use eye drops to dilate (enlarge) the pupils before the exam, so that clear, high-quality images can be captured. If dilation is used, it is normal to experience blurry vision or light sensitivity for a few hours afterward, but these effects are temporary and will wear off on their own.

What happens after the test?

Once the scan is completed, the OCT machine analyses the scans, and the images become available almost immediately to view by your eye care professional. They will review the images, and compare with any previous scans if those were performed. The results will be communicated back to you in simple terms as soon as they can.

The findings from OCT may confirm the presence of any eye conditions, new findings or changes, or otherwise confirm that the eyes appear healthy and normal. Based on this information, your provider inform you of the next steps in the care plan, for example if any treatment is required, or if a follow-up visit is recommended.

How often should the test be performed?

How often OCT is performed depends on your child’s eye health and risk factors. For children with healthy eyes, OCT is often done once a year as part of a comprehensive eye exam. If your child has an existing eye condition or a higher risk of developing one, the optometrist or eye doctor may recommend more frequent scans to closely monitor their eye health.

1.         Enaholo ES, Musa MJ, Zeppieri M. Optical Coherence Tomography. InStatPearls [Internet] 2024 Mar 27. StatPearls Publishing.

2.         Bhende M, Shetty S, Parthasarathy MK, Ramya S. Optical coherence tomography: A guide to interpretation of common macular diseases. Indian journal of ophthalmology. 2018 Jan 1;66(1):20-35.

3.         Shin HJ, Costello F. Imaging the optic nerve with optical coherence tomography. Eye. 2024 Aug;38(12):2365-79.

Zurück zum Wissenszentrum

Nehmen Sie an der Diskussion teil.

Unsere Social Media-Kanäle bieten eine unterstützende Gemeinschaft für diejenigen, die ihren Kindern bei der Myopiebehandlung helfen.